Чому стираються зуби і з’являються сколи
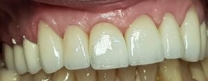
Стирання зубів і сколи емалі найчастіше є наслідком перевантаження прикусу. З роками зуби можуть ставати коротшими, краї — нерівними, з’являється чутливість або тріщини. Це не лише естетична проблема — це зміна функції.
Ознаки зниження висоти прикусу
-
зуби стали коротшими
-
краї виглядають “плоскими”
-
з’являються мікросколи
-
втома щелепи
-
клацання або напруження
-
зміна профілю обличчя
Стирання може поступово зменшувати висоту прикусу, що впливає на навантаження на всі зуби.
Чи достатньо просто “підліпити” скол
Іноді скол можна відновити пломбою.
Але якщо причина — перевантаження або зниження висоти прикусу, локальний ремонт не вирішує проблему.
У таких випадках необхідна комплексна оцінка та відновлення стертих зубів.
Як відновлюються стерті та сколоті зуби
В залежності від ситуації можуть застосовуватися:
-
накладки
-
коронки
-
комплексне протезування
Матеріал підбирається індивідуально — це можуть бути цирконієві коронки або металокерамічні конструкції.
Відновлення висоти прикусу
Для стабільного результату інколи необхідно відновити висоту прикусу — тобто повернути правильне співвідношення зубів і навантаження.
Це дозволяє:
-
зупинити подальше стирання
-
зменшити напруження щелепи
-
стабілізувати результат
Консультація
Оцінку можна пройти у стоматолога на Печерську, поруч із метро Палац Україна (вул. Єжи Гедройця, 2).
Консультація — 500 грн (зараховується у лікування).



